Για οποιοδήποτε τραύμα στο στόμα πρέπει να ενημερώσετε αμέσως τον οδοντίατρό σας, ώστε να αποφασίσει εάν χρειάζεστε περίθαλψη. Θα εξετάσει το τραύμα και ίσως χρειαστεί να κάνει και κάποια ακτινογραφία.
Αν πονάτε επειδή κάποιο δόντι σας έσπασε, θρυμματίστηκε ή έχασε κάποιο κομμάτι του, πάρτε ένα παυσίπονο και αν είναι δυνατόν κρατήστε το σπασμένο κομμάτι και πάρτε το μαζί σας στον οδοντίατρο.
Αν χάσετε κάποιο δόντι από τραυματισμό, πάρτε το δόντι μαζί σας στον οδοντίατρο. Εάν είναι εφικτό να επανατοποθετηθεί το δόντι στο στόμα σας, η διαδικασία αυτή ονομάζεται επανεμφύτευση.
Εάν σπάσει κάποιο μικρό κομμάτι από ένα δόντι σας και δεν πονάτε, αποφασίστε μόνοι σας πότε και πώς θέλετε να αποκαταστήσετε το δόντι σας: το δόντι μπορεί να λειανθεί ή να «ξαναχτιστεί». Αυτό σημαίνει ότι ο οδοντίατρός σας μπορεί να χρησιμοποιήσει, επικαλύψεις από πορσελάνη, θήκες ή σφραγίσματα. Εάν χάσετε κομμάτι από σφράγισμα ή από κάποιο τεχνητό δόντι, το σφράγισμα ή το δόντι πρέπει να αντικατασταθούν.
Εάν κάποιο δόντι σας σπάσει ή ραγίσει πρέπει να αποκατασταθεί το συντομότερο δυνατό για να αποφύγετε επιδείνωση της ζημιάς. Στις περιπτώσεις αυτές μπορεί να χρειαστεί ενδοδοντική θεραπεία ή και εξαγωγή. Εάν το κάταγμα έχει κάνει ζημιά στο σμάλτο και στην οδοντίνη, τότε μάλλον είναι απαραίτητη η στεφάνη. Πρέπει να ξέρετε ότι τα κατάγματα δεν είναι πάντα ορατά ακόμα και σε ακτινογραφία. Το ράγισμα μπορεί να προκαλέσει πόνο όταν μασάτε και ευαισθησία στο ζεστό και στο κρύο, που με την πάροδο του χρόνου μπορεί να επιδεινώνεται.
Εάν χάσετε κάποιο δόντι από τραυματισμό, το μυστικό για να επανατοποθετηθεί με επιτυχία στο στόμα σας, είναι να επανεμφυτευθεί στο φατνίο μέσα σε 30 λεπτά της ώρας και το αργότερο σε δύο ώρες. Κάθε λεπτό που περνάει νεκρώνονται κύτταρα της ρίζας. Ξεπλύνετε το δόντι μόνο με νερό, ακουμπείστε το στη θέση του και σπεύσετε στον οδοντίατρο, όσο πιό γρήγορα μπορείτε. Πρέπει να κρατάτε το δόντι από τη στεφάνη και να μην το αφήσετε να στεγνώσει. Μετά από μία ή δύο εβδομάδες και αφού το δόντι σταθεροποιηθεί, ο οδοντίατρός σας μπορεί να κάνει μια ενδοδοντική θεραπεία.
Είτε χάσετε κάποιο δόντι οριστικά είτε σας το αφαιρέσει ο οδοντίατρος, πρέπει να αντικατασταθεί. Κι’αυτό για να αποφύγετε προβλήματα όπως είναι η δυσκολία στο μάσημα και στην ομιλία, η μετατόπιση των γειτονικών δοντιών, οι απορρυθμίσεις στην κροταφογναθική άρθρωση, που προκαλούνται όταν μασάτε από την πλευρά που έχετε όλα σας τα δόντια, και η εξασθένιση της σιαγόνας. Τα χαμένα δόντια αντικαθίστανται από γέφυρες, τεχνητές οδοντοστοιχίες (μερικές ή ολικές) και εμφυτεύματα.
Εάν ραγίσει ή σπάσει η σιαγόνα σας, κρατήστε την ακίνητη δένοντας ένα μαντήλι ή μια γραβάτα γύρω από τη σιαγόνα μέχρι την κορυφή του κεφαλιού σας. Βάλτε κρύες κομπρέσες, για να μην πρηστεί και πηγαίνετε αμέσως στο εφημερεύον νοσοκομείο ή στον οδοντίατρό σας.
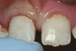
![]() | σπασμένο μπροστινό δόντι |
![]() | ξεριζωμένο δόντι |
![]() | επανατοποθετείστε προσεκτικά το ξεριζωμένο δόντι και πηγαίνετε αμέσως στον οδοντίατρό σας. |
ΚΟΥΙΖ ΣΤΟΜΑΤΙΚΗΣ ΥΓΕΙΑΣ
Κάντε το τεστ Oral Health και αξιοποιήσετε στο έπακρο την καθημερινή σας ρουτίνα στοματικής φροντίδας.
ΚΟΥΙΖ ΣΤΟΜΑΤΙΚΗΣ ΥΓΕΙΑΣ
Κάντε το τεστ Oral Health και αξιοποιήσετε στο έπακρο την καθημερινή σας ρουτίνα στοματικής φροντίδας.
Σκοπός του παρόντος άρθρου είναι να προωθήσει την κατανόηση και την ενημέρωση σχετικά με θέματα γενικής στοματικής υγιεινής. Δεν έχει ως στόχο να υποκαταστήσει τις συμβουλές, τη διάγνωση ή τη θεραπεία από επαγγελματίες. Να συμβουλεύεστε πάντα τον οδοντίατρό σας ή άλλο πιστοποιημένο πάροχο υγειονομικής περίθαλψης για οποιαδήποτε ερώτηση σχετικά με ασθένειες ή θεραπείες.
Περισσότεροι επαγγελματίες σε όλο τον κόσμο εμπιστεύονται την Colgate. Αναζητήστε πόρους, προϊόντα και πληροφορίες για να χαρίσετε στους ασθενείς σας ένα πιο υγιές μέλλον


